
台中牙醫推薦▸▸台中牙齒美白▸▸台中兒童牙醫推薦▸▸
粹齒以先牙醫診所⦁烏日別院
其實多年前牙齒矯正好之後,我一直不太敢露齒笑
每天很認真刷牙的我,依舊敵不過咖啡跟茶類的染色
總覺得牙齒黃笑起來不太好看!!
所以長期下來我習慣了憋嘴笑
但憋嘴笑就很容易笑得尷尬不自然

加上工作時常要燦笑,總是希望能更有自信的開懷大笑
決定來台中烏日的粹齒以先做牙齒冷光亮白!!
希望能讓因咖啡以及易染色食物造成牙齒白幾個色階
趁著週末有空檔,也順便帶媛寶做牙齒定期檢查


門口是溫馨的木質鞋櫃,進門前換室內拖鞋
室內拖有分大人跟小孩!!

大人可以穿一次性的紙拖鞋,不習慣穿拖鞋想打赤腳也是OK啦!!

入門後我看到這一大片的書牆,我好驚訝😄
在這裡等待看診時間完全不無聊ㄟ!!
除了大人,也有小孩區唷!!

小朋友也有書籍,還有玩具,孩子們就不會一直喊無聊想玩手機了

聖誕節快到了,少不了聖誕樹,讓整間診所有濃濃的聖誕味!!

很喜歡診所的用心,讓來看診的人自然地卸下緊張感

二樓有大人的休息室,可以很放鬆等待醫師
(真的是放鬆到有人在裡面睡著了😅)

感受的到對於節日的氣氛營造很重視
這裡到處都有聖誕氣息呢✨✨✨
這次是預約葉斯銜醫師做冷光美白
因為冷光美白需要30~40分鐘,一定要先預約喔!
進行冷光美白前,醫師會做初步檢查
本身有敏感性牙齒的朋友
也可以先告知醫師,先評估是否適合做冷光美白
塗抹藥劑
塗抹藥劑前會先裝上擴口器
這樣一來我就可以不用一直撐開口
照射冷光機
照光會分三階段,反覆上藥劑再照光
診所使用的藥劑是衛福部核可的產品,由醫師操作更安心
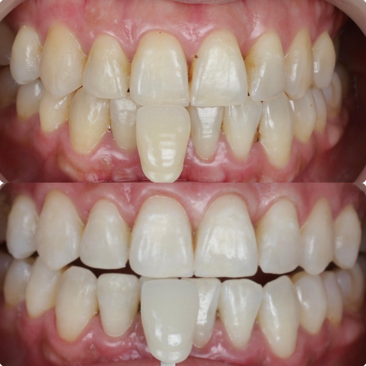
三步驟完成後,去除藥劑就會看到明顯的色差
葉醫師說:很多大會誤解冷光美白會變「很白」
其實是將沉積的染色分解清潔,還原牙齒的原色
這次做完冷光亮白後,我跟醫師都有驚豔到!!
白了一個色階兩個色號(是說原本到底有多黃啊)

看看這真的很誇張餒~~
美白後的前一、二天,牙齒會比較敏感是正常現象
擔心敏感的朋友,可以先避開太冰或太熱的食物
冷光美白後保養
醫師也特別叮囑:完成美白後,應儘量避免易染色食物,一定要做好清潔
如:咖啡、紅酒、咖哩…等。
這樣一來可以讓牙齒維持更久

做完牙齒美白後接著出國旅行的我
拍照起來真的更有自信了

這次旅遊真的多了很多露齒照片


冷光美白後,就是媛寶的例行檢查
四個孩子的牙齒一直都讓我感到很困擾
這次帶著媛寶去檢查牙齒,想看看換牙中的孩子有沒有什麼問題
因為我自己的牙齒也是經歷了不少波折
趁著孩子在成長中,能夠提早發現問題就可以趕緊做治療
台中兒童牙醫推薦粹齒以先牙醫診所
這裡對小孩非常友善且有耐心!!環境也非常的溫馨!!
有別於一般冷冰冰令人感到害怕的牙科診所
很喜歡診所的用心,讓來看診的人自然地卸下緊張感


初診會先照數位全口X光片,這樣醫生才能更準確地知道牙齒的狀況

媛寶的X光片,醫師講解完之後我整個是大寫的OMG~~~~😄😄😄

醫師先幫媛寶檢查全口牙齒,看看哪一顆要掉了,哪一顆正要長出來了
還有哪一顆沒刷乾淨蛀牙了!!
當然~最重要的是,醫師會教孩子們如何清潔牙齒
醫師講一句話勝過媽媽說十句!!

醫師另外還有用口內攝影拍下蛀牙的部分
並跟我講解媛寶牙齒的問題狀況
媛寶目前牙齒一整個就是亂七八糟
牙床太小,牙齒太大顆,導致牙齒擠壓排列不整齊
再加上媛寶開始有口呼吸的狀態,如果一直不理他,就會慢慢出現嘴巴凸及暴牙的問題!!
跟醫生討論後,決定要幫媛寶做MRC肌功能矯正
(這個後續會再整理一篇MRC矯正跟大家分享)
不管做什麼治療,都要叮嚀孩子要先把牙齒清潔乾淨
清潔乾淨後做矯正,牙齒就會更漂亮了!!
媛寶很少看牙如此淡定,診所每一位人員都很親切、專業
才讓孩子能乖乖的坐上診療椅
真的很感謝粹齒以先給大家這麼好的環境和這麼多優秀的醫師

我看到這排名片我有嚇到😄
這裡醫師真的非常的多,診間也很多
能夠擁有這麼多醫師的牙科診所真的非常不簡單
大推給大家!!
粹齒以先牙醫診所▪烏日別院
前往地址:台中市烏日區中山路二段77號
預約電話:04-2337-1234
粉專 : 粹齒以先牙醫診所▪烏日別院
網站: 粹齒以先牙醫診所▪烏日別院
IG: 粹齒以先牙醫診所▪烏日別院


